Invisalign Provider Logo

Invisalign

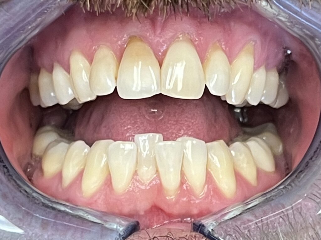
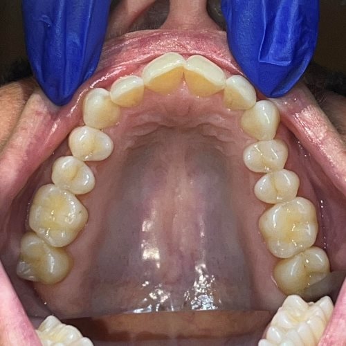
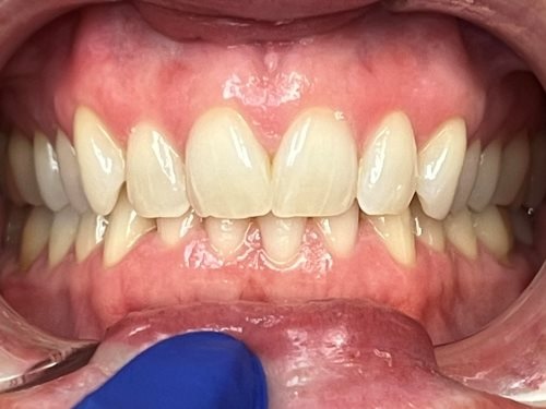
Dr. Goeckeritz has been an Invisalign provider since 2007 and is recognized as one of the top providers in the Salt Lake Valley. We use the latest iTero Lumina 3D scanner to help patients visualize their smile and identify oral health concerns that might otherwise go unnoticed. We believe a great smile is about more than straight teeth, and we’d love to introduce you to our team during your Invisalign consult.

What is Invisalign?

Invisalign is a modern, comfortable way to straighten your teeth using clear, removable aligners instead of traditional braces. At our office, we want every patient to feel comfortable and informed about their smile. Every new patient receives a full oral health screening using the latest technology, including the iTero Lumina 3D scanner. This advanced scanner captures a complete digital model of your smile in just three minutes. With the help of AI, we can then review important findings together—like broken teeth, old restorations, cavities, wear, gum recession, plaque or tartar buildup, bite and occlusion issues, and more. We can even show you an instant Invisalign simulation to preview how your smile could look after treatment.

The Appointment Flow

What You Can Expect

1st

30 minute consultation

This is when we will get to know you and your goals. Our team will gather information from photos, and a 3D scan of your smile.

2nd

Delivery Appointment

Once you are ready to begin, it takes about 3 weeks to receive your Invisalign trays. The delivery appointment lasts about 1 hour where we will educate you on your treatment and home care.

3rd

3 month checkups

We will visit every 3 months for Invisalign Checkups. It's this simple. Most cases finish in under 12 months!

QUESTIONS & ANSWERS

Average treatment time is 6 – 18 months, but minor cases can finish faster and complex cases may take longer. Schedule a 30 minute consultation and we will give you a timeline personalized to you.

Expect mild pressure or tenderness for a day or two each time you switch to a new set. Most patients find Invisalign far more comfortable than metal braces.

Both straighten teeth effectively, but Invisalign is nearly invisible, removable, and often more comfortable. Braces may be recommended for very complex movements.

For best results, wear them 20–22 hours per day, removing only for eating, drinking anything besides water, and brushing/flossing.

Any lisp or slight change is usually minor and fades within a few days as you adapt to the aligners.

Costs vary with each case. Contact us to learn more about pricing!